오늘은 중기정밀 초음파가 있는 날입니다. 신랑과 함께 병원으로 달려갔어요. 병원에 가면 기존대로 스스로 혈압체크와 몸무게를 측정합니다. 그 후에 정밀초음파실에서 22주 중기정밀 초음파를 보게 되었어요. 무려 마미톡 동영상이 43분이나 찍혔고 거의 50분 정도 걸렸다고 보면 되니 어마어마합니다. 이제부터 아래에 공개할게요.
| -목차- ※ 22주 중기정밀 초음파에서 확인하는 부분 (초음파 용어 포함) 1. 아기 머리 직경 (BPD) 2. 아기 몸통 둘레 (AC) 3. 넓적다리 뼈길이 (FL) 4. 아기 예상 몸무게 (EFW) 5. 팔뚝 뼈길이 (HL) 6. 척추뼈가 잘 형성되었는지의 여부 (SPINE) 7. 신장 잘 형성되어 있는지의 여부 (Renal) 8. 횡격막 잘 형성되어 있는지의 여부 (Diaphragm) 9. 대동맥궁이 지팡이 모양으로 잘 형성이 되어 있는지와 혈류체크 (Aortic Arch) 10. 뇌실크기 (Lt VP / Rt VP) 11. 소뇌크기 (Cereb) / 숨뇌크기 (CM) / 목투명대 두께 (NF) 12. 태아의 뇌량 (CSP) 13. 안구의 여부 (Eye ball) / 오른쪽 왼쪽 귀의 여부(RT Ear, LT Ear) 14. 코뼈의 존재 여부 및 길이 (NBL) 15. 콧구멍 잘 있는지 / 입 잘 있는지 / 겉으로 보이는 구순열의 여부 16. 다시한번 성별 확인 / 항문 잘 있는지(Anus) 17. 폐동맥, 대동맥, 상대정맥 (3VV) / 좌심실 좌심방 우심실 우심방 (4CV) 18. 좌심실 유출로(LVOT) / 우심실 유출로(RVOT) 19. 아기의 심장 박동수 (Ventr. FHR) 20. 담낭(GB) , 위장(ST), 제대정맥(UV) 21. 방광(BL)에 오줌이 잘 차고 빠지는지 (태아의 방광은 20분 정도에 한번씩 비워지고 채워진대요.) 22. 손가락 / 발가락 개수 확인 23. 양수의 양 체크 24. 자궁경부 길이 체크 (Cervix L.) 25. 자궁근종 위치와 크기 체크 -------------------------------------------------------------------------------------------------------------------------------- ※ 중기정밀 초음파를 보고 느낀점 |
22주가 된 태아의 장기와 눈에 보이는 신체기관들을 모두 확인을 하는 오늘은 하나하나 보는데에도 아기가 협조를 안 해주어 힘이 들었지만, 선생님께 설명을 분명히 들었어도 전문가가 아니라서 뭔지 모르는 것들이 속출합니다!! 그리하여 기억력의 한계로 사진은 존재하지만 포스팅에는 몇 가지는 빠져 있습니다. 감안하고 봐주세요~
1. 아기 머리직경 (BPD)
아기 머리직경을 잽니다.

아기 머리 직경을 재고 있어요. 22주 2일에 5.36cm 이예요. 머리 직경은 크지도 작지도 않고 주수대로 잘 자라고 있는 듯 보입니다.
2. 아기 몸통둘레 (AC)

몸통둘레는 여러번 쟀는데 어떤 것이 기준인지는 잘 모르겠습니다. 제일 크게 나온 것을 올려둡니다.
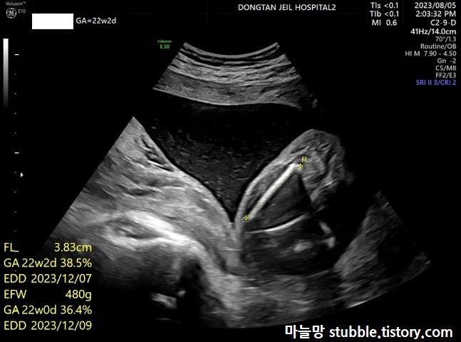
3. 넓적다리 뼈길이 (FL)
언제부터인가 병원가면 항상 재는 거죠? 허벅지 뼈길이입니다.
3.83cm으로 잘 자라고 있었어요.

4. 아기 예상 몸무게 (EFW)
아기 예상 몸무게는 EFW라고 하는데, 뼈길이등을 종합하여 예상 몸무게를 산출합니다.
초음파상에 같이 나옵니다. (EFW = 480g) 거의 500g 정도로 많이 컸어요.
5. 팔뚝 뼈길이 (HL)

우리 버팀 이의 팔뚝 길이는 3.59cm이 나왔어요.
6. 척추뼈가 잘 형성되었는지의 여부 (SPINE)

척추뼈는 옆으로 봤을 때 3줄, 정면으로 봤을때 2줄로 보이면 정상이라고 들었던 것 같아요. (기억이 가물)
7. 신장 잘 형성되어 있는지의 여부 (Renal)


이제 전문가가 아닌 이상 어려워요.
8. 횡격막 잘 형성되어 있는지의 여부 (Diaphragm)

화살표 친 부분이 횡격막입니다.
횡격막도 잘 있는 걸 확인했어요.
9. 대동맥궁이 지팡이 모양으로 잘 형성이 되어 있는지와 혈류체크 (Aortic Arch)

대동맥궁이 지팡이 모양으로 잘 형성이 되어 있는지 봤어요. 지팡이 모양인 게 신기해요.
10. 뇌실크기 (Lt VP / Rt VP)
뇌실이라는 것은 뇌 안에 존재하는 4개의 서로 연결된 빈 공간을 일컫는 용어라고 합니다. 뇌척수액이 뇌실 안에서 생산되어 순환하며 채우고 있다라고 정의되어 있습니다.

뇌실 크기를 잽니다.
11. 소뇌크기 (Cereb) / 숨뇌크기 (CM) / 목투명대 두께 (NF)

12. 태아의 뇌량 (CSP)

13. 안구의 여부 (Eye ball) / 오른쪽 왼쪽 귀의 여부(RT Ear, LT Ear)
(1) 안구의 여부 (Eye ball)

조금 심오한 느낌이 들기도 하지만 안구는 양쪽 다 잘 있습니다.
(2) 오른쪽 왼쪽 귀의 여부(RT Ear, LT Ear)

귀도 양쪽이 모두 형성이 되어 있는 것으로 보입니다.
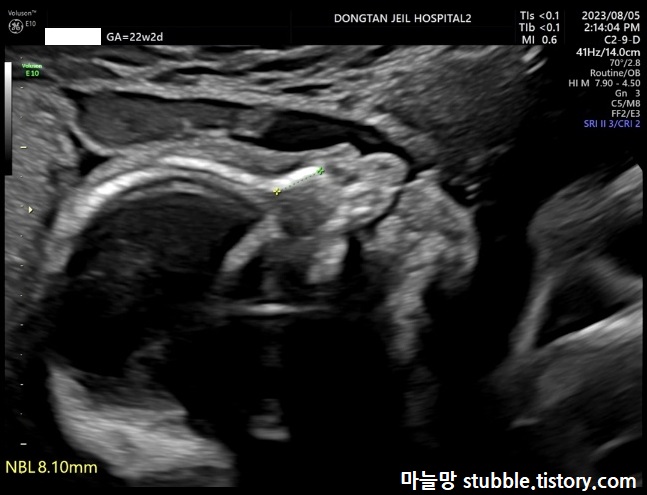
14. 코뼈의 존재 여부 및 길이 (NBL)

코뼈의 유무에 대해서는 12주 초음파에서도 봤었지만 이번에는 꽤 많이 성장한 코뼈를 볼 수 있었어요.
15. 콧구멍 잘 있는지 / 입 잘 있는지 / 겉으로 보이는 구순열의 여부

제가 볼 때는 입술산이 살짝 뾰족해 보였지만 별다른 소견이 있지는 않았어요.

16. 다시 한번 성별 확인 / 항문 잘 있는지(Anus)

성별은 이미 16주에 크게 반전 없을 거라는 것을 알게 되었지만 초음파를 보며 다시 한번 상기시켜 주었습니다.
| ※ 22주 태아의 다리와 팔 초음파 초음파를 보면서 태동이 심할때도 있었는데 초음파 쌤이 놀랄정도로 배 위를 걷어차서 함께 놀란적이 있었어요. 아마도 저렇게 뱃속에서 매일 발로 뻥뻥 차는듯 합니다. ![]() 아직 태아인데 왜 근육질 다리로 보이는건지...아기가 태어날때를 대비하여 노산부부인 우리는 운동을 열심히 해야 겠는걸?! |
17. 폐동맥, 대동맥, 상대정맥 (3VV) / 좌심실 좌심방 우심실 우심방 (4CV)

18. 좌심실 유출로(LVOT) / 우심실 유출로(RVOT)

19. 아기의 심장 박동수 (Ventr. FHR)

임신 6~7주가 넘으면 초음파 보러 가면 항상 확인하는 심박수입니다.
항상 체크하는 만큼 제일 중요한 거죠.
20. 담낭(GB) , 위장(ST), 제대정맥(UV)

21. 방광(BL)에 오줌이 잘 차고 빠지는지 (태아의 방광은 20분 정도에 한 번씩 비워지고 채워진대요.)

방광에 오줌이 차있는 모습입니다.
22. 손가락 / 발가락 개수 확인
(1) 손가락 개수 확인

손가락을 편 모습을 보려고 한 2분간 계속 노력했으나 이것이 최선이었습니다. 아기는 주먹 쥐고 있는 것이 기본이라서 손가락을 모두 펴지 않았어요. 간혹 편 모습도 있긴 있었지만 아주 빠르게 폈다가 접어서 결국은 이런 모습으로 손가락 개수를 확인하였습니다.
(2) 발가락 개수 확인

발가락 개수를 세어 봅니다.
23. 양수의 양 체크

엄마 뱃속에 충분히 양수가 존재하는지 확인하는 모습입니다.
4군데의 양수의 양을 체크했어요.
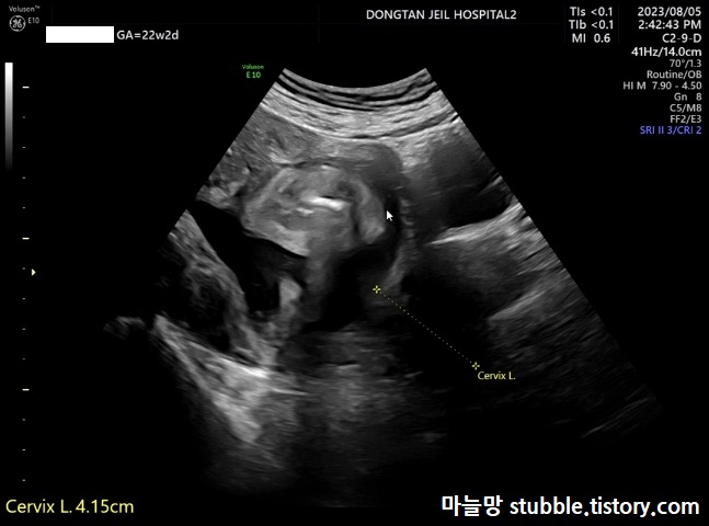
24. 자궁경부 길이 체크 (Cervix L.)

자궁 경부 길이도 체크해 봅니다. 정밀 초음파로 측정한다고 해도 아주 정확하지는 않다고 들었어요. 질초음파로 보는 게 정확한데 2주 전에 질초음파로 측정한것보다 길게 나왔습니다. 2주전에 질초음파로 측정한 수치는 4.02cm / 이번에 측정한 수치는 4.15cm 많은 차이는 나지 않는 것으로 보아서 아직은 자궁경부길이가 안정권에 들어가 있다는 것을 알 수 있어요.
25. 자궁근종 위치와 크기 체크
자궁근종이 없는 경우에는 체크하지 않겠지만, 근종이 있는 경우는 위치와 크기를 체크합니다. 저 같은 경우는 근종 2개는 는 시험관 시술을 준비할 때부터 계속 있다고 들어왔기 때문에 알고 있었고, 선생님께서 하나 더 크기를 쟀어요. 그리하여 근종 3개를 보유하고 있는 여자인걸 알게 되었네요. 어떻게 시험관 시술이 성공한 건지 충격입니다.

근종 1호입니다. 약간 럭비공 모양의 제일 큰 근종이에요.
배꼽 바로 아래에 위치해 있대요. 근종 위치까지 표시해 주었어요. 신기합니다.

난임병원 다닐 때 좀 더 커지면 착상에 방해되는 위치라고 그랬던 것 같아요. 제기억에 이 근종이 맞을 거예요.

몰랐던 근종이에요. 아마도 쪼끄만 근종이었는데 시험관 시술 하면서 약을 쓰니깐 자랐나 봐요. 뱃속에 이런 근종이 있다니 놀랍습니다.
※ 중기정밀 초음파를 보고 느낀 점
마지막으로 중기정밀 초음파를 보고 느낀 점입니다. 중기 정밀 초음파를 저 같은 경우 약 50분을 봤는데 잘 몰라도 설명을 해주셔서 그런지 모든 과정이 지루하지는 않았어요. 다만 포스팅할 때는 힘들었다는 점 이곳에 기록하며, 이번에도 문제 있다는 소리를 듣지는 못해서 다행입니다. 임신 후에 산부인과에 가는 매 순간순간 하나하나 미션을 클리어 해가는 느낌이지만 이번에도 또다시 통과하였습니다. 우리 아기가 끝까지 건강하게 태어나길 바라면서 오늘의 글을 마칩니다.
'숨쉬는생각들 > 결혼&임신' 카테고리의 다른 글
| 막달검사를 하고왔어요 (34주 5일) (0) | 2023.10.31 |
|---|---|
| 태동검사(NST)를 했어요(32주 4일) (0) | 2023.10.16 |
| 신랑과 함께 백일해 주사를 맞았어요. (30주 4일) (0) | 2023.10.03 |
| 아기 얼굴 보는 입체초음파를 했어요 (28주1일) (0) | 2023.09.15 |
| 산부인과 정기검진 임당검사를 했어요. (26주 2일) (0) | 2023.09.02 |
| 임산부가 태동을 느끼는 시기 (0) | 2023.07.19 |
| 19주 4일 초음파로 자궁 경부길이를 쟀어요. (0) | 2023.07.17 |
| 초음파로 성별확인을 하다. (16주 4일 정기검진) (0) | 2023.06.26 |
| 12주 4일 1차 기형아 검사(NT)를 받다. (0) | 2023.05.29 |
| 입덧이 갑자기 없어져서 초음파를 보고 왔어요. (10주 6일) (0) | 2023.05.17 |

최근댓글