오늘은 임신 12주 4일이 되는 날입니다.
그와 동시에 난임병원 졸업 이후 일반 산과로 전원 하여 첫 정기진료가 있는 날입니다.
약 한달전에 미리 예약을 해 두었던 1차 기형아 검사(태아 목투명대 검사)가 있는 날이기도 합니다.
대체 공휴일이었던 투데이.
아침이 되자 신랑과 함께 또 약간 머나먼 산부인과로 출발했어요.
피검사지와 난임병원 담당쌤께서 적어주신 진료의뢰서 같은 걸 챙겨 갔어요.
우리는 정신이 없었고, 건물 구조도 헷갈리고 한참동안 찾기도 했지만 헤매고 있으면 우리랑 전혀 관련 없는 것 같은 병원 관계자 분들께서 먼저 물어봐주셔서 안내를 해주셔서 생각보다는 수월하게 모든 것이 진행됐어요.
처음 왔으므로 간단한 문진을 하고, 초음파실 앞에서 대기를 조금 하다가 들어갔어요. 원래는 신랑과 같이 들어가도 되는데 신랑은 화장실로...
그리하여 혼자 들어가 누워서 초음파를 보게 되었어요. 이제는 산부인과에서 질초음파가 아닌 배초음파로 봅니다.
아기가 잘 움직인다고 초음파 쌤께서 말씀하셨어요.
안 본 사이에 아기는 사람의 형태가 되어 있었어요.
이쪽으로 돌았다가 저쪽으로 돌았다가 제가 봐도 아기가 잘 움직였어요.
초음파를 보는 시간도 생각보다 빨리 끝났고요. 5~6분 정도 봤어요.
그럼 오늘 본 초음파중에 하이라이트만 정리해 볼게요.

12주 정밀 초음파에서는 아기의 뇌가 나비모양으로 잘 형성되고 있는지를 보았어요. 대칭이 되면 좋다고 하는데 초음파 각도에 따라 다르게 보여요.

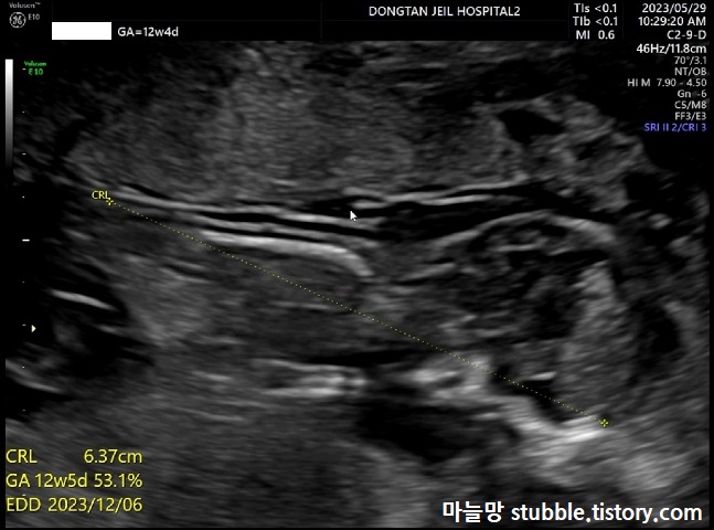
이번 초음파 사진은 병원 갈 때마다 항상 재보는 CRL이에요.
아기의 머리부터 엉덩이뼈 끝까지의 길이입니다. 우리 아기는 12주 4일 차 6.37cm입니다.
주수대비 계속 이틀이 느렸는데 이틀이 빨라졌어요. 아마도 초음파 쌤께서 아기 CRL 잴 때 아기를 반듯하게 쭈욱 펴서 재니깐 좀 더 키가 크게 나올 수 있었던 것 같아요.

태아 목투명대 (NT) 검사입니다. 보통 아기 CRL(머리에서 엉덩이까지 길이) 4.5cm 이상일때 11주부터 13주 사이에 검사를 하고, 목투명대 길이가 3mm가 넘으면 다운증후군등의 염색체 이상일 확률이 있을 수 있다고 하여 하는 검사 입니다.
계속 엎드려서 아래쪽을 보고 있는 우리 아기입니다.
두근두근!! 우리 아기의 목투명대 길이는 1.62mm가 나왔으므로 안정권입니다.

이거는 잘 생각이 안 나지만, 모체에서 아기에게 전달되는 혈류체크 같은 건가 봐요. 저에게로부터 아기에게까지 잘 전달되는 혈류의 이동상태?를 볼 수 있어요.

성별을 예측해 볼 수 있다는 각도법의 자세인 것 같은데 각도법은 볼 줄 모르옵니다.
또렷해진 사람의 모습! 많이 컸지요?

이번에는 얼굴 쪽 옆모습을 잡았습니다.
얼굴이 거의 사람의 형태입니다.

다운증후군의 경우 코뼈가 안 생기는 경우도 있다고 하여 코뼈를 확인합니다.
우리 아기는 코뼈도 잘 생겨 있었어요.
코뼈의 길이(NBL)는 2.67mm입니다.

그리고 12주 4일의 첫 입체 초음파입니다.
팔을 쭈욱 펴서 자궁벽을 안고 있는 우리 아기의 모습입니다.
얼굴은 옆을 보고 있어요.
아기 등 쪽은 태반이라고 하네요.
생각보다 앙상한 우리 아기
공복덧이라 공복 피하느라 엄마는 뱃속을 항상 음식으로 채워주느라 살이 4kg이나 쪘는데 왜 앙상할까...?
흠, 다음 진료 때는 더욱 성장한 아기의 모습을 볼 수 있었으면 좋겠다오.
초음파를 본 후 담당 산과쌤을 처음으로 뵙고, 니프티를 할지 일반 기형아 검사를 할지 많은 고민을 해야 했답니다.
하지만 저의 결정은 일반 기형아 검사 하기로 했어요. 만약 문제 있으면 양수검사 하려고요.
노산인 것 빼고는 아직까지는 순조롭게 흘러가고 있습니다.
병원에 피 한통을 뽑아주고, 혈압과 몸무게를 재고 다음 예약을 하고 병원을 떠나왔답니다.
이제 16주에나 병원에 방문하게 되겠네요.
그럼 오늘의 글을 마감합니다.
다음에 돌아올게요.
'숨쉬는생각들 > 결혼&임신' 카테고리의 다른 글
| 산부인과 정기검진 임당검사를 했어요. (26주 2일) (0) | 2023.09.02 |
|---|---|
| 중기정밀 초음파를 봤어요. (22주 2일) (0) | 2023.08.05 |
| 임산부가 태동을 느끼는 시기 (0) | 2023.07.19 |
| 19주 4일 초음파로 자궁 경부길이를 쟀어요. (0) | 2023.07.17 |
| 초음파로 성별확인을 하다. (16주 4일 정기검진) (0) | 2023.06.26 |
| 입덧이 갑자기 없어져서 초음파를 보고 왔어요. (10주 6일) (0) | 2023.05.17 |
| [시험관] 난임병원을 졸업 하다. (0) | 2023.05.06 |
| [시험관] 특별한 이벤트는 없는 8주 2일 초음파 (0) | 2023.04.29 |
| [시험관] 쌍둥이에서 단태아로(베니싱트윈) 7주 2일 (0) | 2023.04.22 |
| [시험관] 6주 2일 단태아인줄 알았는데 쌍둥이래요. (0) | 2023.04.15 |
최근댓글