오늘도 급히 난임병원 오픈런을 하게 되었습니다.
불금이었던 어제 새벽 늦게까지 TV를 보다 주무시는 신랑을 아침 6시부터 깨워서 준비를 시켰어요. 출근할 때도 이렇게 이른 시각에 안 일어나는데...!!
지난 저녁 저에게 「붉은 피 뚝뚝」이라는 이벤트가 발생했기 때문이에요.
피는 갑자기 왈칵 가로 5cm 세로 3cm 정도의 면적으로 소형생리대에 묻어 있었고, 처음에는 이거 정말 큰일 났다 싶었지만 계속 지속적으로 나오는 건 아니었고 금방 갈색혈로 변경이 되어 일단 눕눕 하고 화장실 가는 일 이외에는 움직이지 않았어요.
갑자기 일어난 피 이벤트 때문에 오늘 같은 토요일에 그것도 다른 날보다 대기줄이 긴 날 난임병원 오픈런을 하게 될 줄 몰랐습니다. 원래 예약일이 다음 주 월요일이었는데 말이죠.
보통 피 비침이 갈색혈이면 양이 적은 경우에 크게 문제 될 것이 없다고들 하는데요. 저도 갈색혈은 꾸준히 또는 가끔 있었습니다. 갈색혈의 경우 이번주는 꾸준히 있었던 것 같아요. 그전에는 간헐적으로 한 번씩 있었습니다. 개인적으로는 양이 적었기 때문에 크게 문제 삼지 않았습니다.
하지만 생각해 보면 꾸준히 갈색혈이 나왔다는 것도 조금 찜찜하고, 생리 2일 차에서나 볼 수 있는 그런 붉은색깔 피가 왈칵왈칵 쏟아졌다는 것도 임산부 입장에서 대충격적인 일이잖아요. 무작정 갔습니다.
원무과에서 대기자 접수를 하고 꽤 기다려서 원장님을 보자마자 붉은 피가 나왔다고 하니, 덩어리 같은 것도 나왔냐고 물어보셔서 질정(유트로게스탄) 찌꺼기랑 섞여서 구분 안된다고 했어요. 그러니 다시 한번 물어보셨어요. 투명한 젤리 같은것도 나왔냐고 물어보셨어요. 그런 건 안 나왔다고 하니 초음파 먼저 보자고 하시며 대부분 이런 경우에 아기 괜찮다고 안심을 시켜 주셨어요.
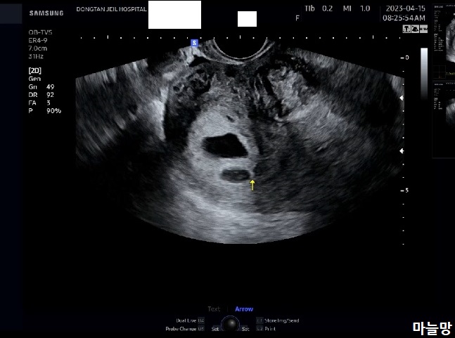
그리고, 질초음파를 봅니다.
「아기집 괜찮고요」가 먼저 들려왔어요.
그리고 보인 초음파 화면의 아기집은 붉은 피 출혈에도 쓸려 내려가지 않고 자리를 지키고 있었습니다.

그 후에, 「여기 아기집이 하나 더 보이네요」라고 말씀해 주셨어요.
그러면서 후둥이는 나중에 생겨서 도태될 수 있다고 사이즈가 작아서 조금 더 지켜봐야 한다고 하셨어요.
분명 5주 4일 차에 단태아라서 임신확인서도 단태아로 받았는데....
이런 반전이!
붉은 피가 후둥이 쪽에서 나온 것일 수도 있다는 의사쌤 말씀과 함께 6주 2일 차의 한참 작은 아기들의 심장소리도 들려주셨어요. 아직 아기들 주수가 작아서 심장소리는 마치 잘못 맞춰놓은 라디오 주파수 같았어요.
「취이이이이이익--------취이이익-----------」

그 사이에 심장이 생겼다니...
선둥이는 심장 깜박임이 초음파 화면상으로도 선명하게 보였어요.
후둥이는 아직 너무 작아서 초음파 상으로도 심장소리 잡고 놓치고를 반복...!
둘 다 잘 자라고 있었구나~
특히 후둥이는 엄마도 몰래 뱃속에서 자라고 있었구나...

의사쌤께서 선둥이는 확실하고 후둥이는 도태될 수도 있다고 했지만, 잘 지켜내면 둘 다 품고 갈 수 있을 것 같다는 생각을 했습니다. 밭에서 가장 싱싱하고 커다란 무우 2개를 뽑아서 집으로 가져오신 외할머니의 태몽이랑도 일치해 가는 것 같았고요.
유산 방지주사를 맞고, 예약일 재조정하고 집으로 돌아왔답니다.

그리고 오늘 드디어 산모수첩을 받았어요.
마미톡으로도 아기들 초음파를 다시 볼 수 있게 되었고요.
오늘의 초음파 사진은 마미톡 캡처사진입니다.
다음 주에는 신랑이랑 함께 병원에 오라는데 7주 차 제대로 된 심장소리를 들려 주실 건가 봐요.
오늘도 저는 이렇게 6주 차를 눕눕의 시간으로 보내고 있습니다.
7주 차에 돌아올게요.
------------------------------------------------------------------------------------------------------------------------
※ 4월 18일 추가!!
병원에 다녀온 토요일 이후에도 붉은 피 출혈이 두 번 있었어요.
양은 비슷했고, 두 번 다 지속적이지는 않았고, 특징은 약간 냉 같이 보이는 끈적한 것도 조금 나오긴 했는데 그 이후에 완전히 갈색혈로 변했고 출혈이 사라졌습니다.
'숨쉬는생각들 > 결혼&임신' 카테고리의 다른 글
| 12주 4일 1차 기형아 검사(NT)를 받다. (0) | 2023.05.29 |
|---|---|
| 입덧이 갑자기 없어져서 초음파를 보고 왔어요. (10주 6일) (0) | 2023.05.17 |
| [시험관] 난임병원을 졸업 하다. (0) | 2023.05.06 |
| [시험관] 특별한 이벤트는 없는 8주 2일 초음파 (0) | 2023.04.29 |
| [시험관] 쌍둥이에서 단태아로(베니싱트윈) 7주 2일 (0) | 2023.04.22 |
| 입덧약 디클렉틴을 타왔어요. (5주 6일) (0) | 2023.04.12 |
| 시험관 5주4일 처음으로 초음파를 봤어요. (0) | 2023.04.10 |
| 시험관 3일배양 4일배양 동결배아이식 13일차 임테기 (0) | 2023.04.03 |
| 시험관 동결2차 이식 후 피검일, 피검결과 (0) | 2023.04.01 |
| 시험관 동결 2차 배아이식 10일차 임테기 진하기 비교 (0) | 2023.03.29 |
최근댓글